Well-Differentiated Adenocarcinoma Explained

S.Onlinenic 100 views
Well-Differentiated Adenocarcinoma Explained

What is Well-Differentiated Adenocarcinoma?

Hey everyone! Today, we’re diving deep into a topic that might sound a bit intimidating at first, but trust me, understanding it is super important for many people. We’re talking about well-differentiated adenocarcinoma . So, what exactly is well-differentiated adenocarcinoma, you ask? In simple terms, it’s a type of cancer that starts in glandular cells and, importantly, looks pretty similar to normal, healthy glandular cells under a microscope. This similarity is what the ‘well-differentiated’ part refers to. Think of it like this: when cells are well-differentiated, they’ve basically kept most of their original features and haven’t gone completely rogue. This is generally seen as a positive sign compared to poorly differentiated or undifferentiated cancers, where the cells look really abnormal and aggressive.

Adenocarcinoma itself is a broad category of cancer. It originates from epithelial cells that form glands. These glands are found all over our bodies, making them up in places like the lungs, colon, prostate, pancreas, stomach, and breast, among others. When these glandular cells start growing uncontrollably and abnormally, they can form a tumor. The ‘adeno’ part specifically points to this glandular origin. So, when you combine ‘adeno’ with ‘carcinoma’ (which means cancer arising from epithelial cells), you get adenocarcinoma. Now, add the ‘well-differentiated’ descriptor, and you’re looking at an adenocarcinoma where the cancer cells still bear a strong resemblance to the normal glandular cells they came from. This differentiation level is a key factor that doctors use to help predict how aggressive a cancer might be and how it might respond to treatment. It’s like a grading system for cancer cells – the better they look like the original, the ‘better’ or ‘well-differentiated’ they are, which often correlates with slower growth and less likelihood of spreading. This is a crucial piece of information for diagnosis and treatment planning, guys, so it’s worth remembering.

Understanding the nuances of cancer terminology is vital. Well-differentiated adenocarcinoma is a specific subtype, and its presence indicates a certain cellular behavior. This type of cancer arises from the secretory cells of glands. Glands are specialized tissues that produce and secrete substances like mucus, hormones, or digestive juices. When these cells undergo malignant transformation, they form an adenocarcinoma. The ‘well-differentiated’ classification signifies that the cancerous cells retain a significant degree of resemblance to their normal, non-cancerous counterparts. This means they still exhibit some of the structural and functional characteristics of the original glandular cells. For example, a well-differentiated adenocarcinoma of the colon might still produce mucus, albeit in an abnormal pattern, and its cells might retain a somewhat organized, tubular structure similar to healthy colonic glands. In contrast, a poorly differentiated adenocarcinoma would show cells that are highly irregular in shape and size, with little to no resemblance to normal glandular structures, and often a loss of specialized function.

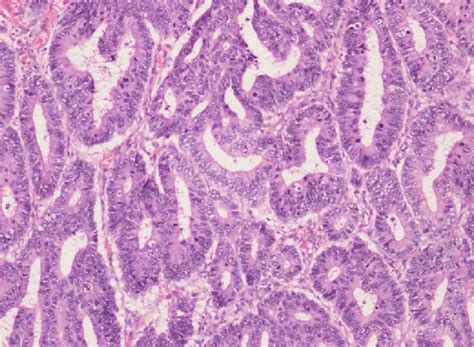
The degree of differentiation is determined by a pathologist who examines a sample of the tumor tissue under a microscope. They look at various features, including cell size and shape, the arrangement of cells within the tumor, the appearance of the cell nucleus, and the presence of specific cellular structures. The more the cancer cells look like normal cells, the higher the grade (well-differentiated), and generally, the better the prognosis. Conversely, poorly differentiated or undifferentiated (anaplastic) cancers have cells that look very abnormal and aggressive, tend to grow and spread more quickly, and may be less responsive to certain treatments. Therefore, identifying well-differentiated adenocarcinoma is not just about naming the disease; it’s about gaining critical insights into its potential behavior and guiding the clinical approach. It’s a vital step in the diagnostic process that helps oncologists and patients make informed decisions about the best course of action. This classification system helps demystify the complex world of cancer pathology, providing a clearer picture of what to expect.

Adenocarcinoma: A Closer Look at Its Origins

Let’s break down the term adenocarcinoma a bit more, shall we? As we touched upon, ‘adeno’ refers to glands, and ‘carcinoma’ means cancer. So, adenocarcinoma is essentially cancer that begins in the cells of glandular tissue. These glands are responsible for producing and secreting important substances in our bodies. Think about the mucus in your airways, the digestive enzymes in your stomach, or the hormones produced by your endocrine glands – all of that comes from glandular cells. Because these glands are present in so many different organs, adenocarcinoma can develop in a wide range of locations. This is why you’ll hear about lung adenocarcinoma, colorectal adenocarcinoma, pancreatic adenocarcinoma, prostate adenocarcinoma, and so on. Each location has its own specific characteristics and risk factors, but the underlying cellular origin is the same.

The diversity of adenocarcinoma is vast, and its manifestation depends heavily on where it originates. For instance, lung adenocarcinoma is one of the most common types of non-small cell lung cancer. It typically arises in the outer parts of the lungs and can grow slowly, sometimes remaining undetected for a long time. On the other hand, pancreatic adenocarcinoma, often diagnosed at later stages, is known for its aggressive nature and challenging treatment outcomes. Colorectal adenocarcinoma develops in the lining of the colon or rectum and is often associated with factors like diet, genetics, and inflammatory bowel disease. Prostate adenocarcinoma is the most common cancer diagnosed in men, typically growing slowly and often treatable, especially when caught early. Breast adenocarcinoma, originating from the milk ducts or glands, also has various subtypes with different prognoses. The key takeaway here, guys, is that while the name ‘adenocarcinoma’ points to a common cellular origin, the specific organ involved dramatically influences its behavior, symptoms, and treatment strategies.

It’s also important to understand that not all glandular cells become cancerous. Our bodies have sophisticated mechanisms to control cell growth and repair. However, sometimes, these controls break down. Genetic mutations, exposure to carcinogens (like certain chemicals or radiation), chronic inflammation, or even certain viruses can damage the DNA of glandular cells, leading to uncontrolled proliferation. This uncontrolled growth is what characterizes cancer. The cells start dividing without stopping and don’t die when they should. As they multiply, they can form a mass, or tumor, which can then invade surrounding tissues and potentially spread to other parts of the body through the bloodstream or lymphatic system – a process called metastasis. The ability to metastasize is what makes cancer so dangerous, and understanding the specific type, like well-differentiated adenocarcinoma , helps us predict this potential.

The ‘Well-Differentiated’ Factor: What It Means for Prognosis

Now, let’s focus on the ‘well-differentiated’ part. This is where things get really interesting because it directly impacts how doctors view the cancer and what they expect in terms of prognosis. As we’ve established, ‘well-differentiated’ means the cancer cells still look a lot like the normal cells they originated from. Imagine a factory worker who starts making slightly imperfect versions of the company’s product. They’re still recognizable as the product, just not perfect. That’s kind of like a well-differentiated cancer cell. This similarity often implies that the cancer is growing more slowly and is less likely to spread aggressively compared to its poorly differentiated counterparts. In pathology reports, this is often assigned a lower grade (e.g., Grade 1 or Grade 2), with Grade 1 being the most well-differentiated.

So, why is this differentiation level so crucial? Well, it’s one of the key pieces of the puzzle that helps oncologists determine the stage and grade of the cancer. The grade describes how abnormal the cancer cells look under a microscope and how quickly they are likely to grow and spread. A well-differentiated tumor, being less aggressive, often means a better prognosis. This means there’s a higher chance of successful treatment, longer survival rates, and potentially less aggressive treatment options being necessary. For patients, hearing that their cancer is well-differentiated can be a source of relief, as it often suggests a more manageable disease. However, it’s essential to remember that ‘well-differentiated’ does not mean ‘harmless.’ It is still cancer, and it requires proper diagnosis, staging, and treatment. Well-differentiated adenocarcinoma still has the potential to grow, invade, and metastasize, albeit often at a slower pace.

The process of determining differentiation involves meticulous microscopic examination. Pathologists assess various cellular and architectural features. For instance, in a well-differentiated adenocarcinoma of the prostate, the cancer glands might still have a relatively orderly arrangement and retain some of the normal structures seen in healthy prostate tissue. In contrast, poorly differentiated cells might form chaotic clusters, lose their glandular structure altogether, and exhibit significant variations in nuclear size and shape. This visual assessment is critical. Furthermore, doctors might use special stains (immunohistochemistry) to identify specific proteins that are characteristic of normal glandular cells. If the cancer cells express these proteins, it further supports the diagnosis of a well-differentiated adenocarcinoma.

Ultimately, the degree of differentiation is just one part of the overall picture. When discussing prognosis, doctors will also consider the tumor’s stage (how far it has spread), the patient’s overall health, and other biomarkers. However, the fact that a cancer is well-differentiated adenocarcinoma provides a valuable baseline understanding of its likely behavior. It offers a glimmer of hope and a more optimistic outlook, guiding the therapeutic strategy towards the most effective and least burdensome approach for the patient. It empowers both the medical team and the patient with a clearer understanding of the road ahead.

Symptoms and Diagnosis of Well-Differentiated Adenocarcinoma

Alright guys, let’s talk about how well-differentiated adenocarcinoma actually shows up and how doctors figure out if someone has it. The tricky part is that symptoms can be pretty vague, especially in the early stages. This is because, as we’ve discussed, well-differentiated cancers often grow more slowly. They might not cause noticeable problems until they’ve grown larger or started to affect the function of the organ they’re in. The specific symptoms will depend heavily on the location of the adenocarcinoma. For example, a well-differentiated adenocarcinoma in the colon might cause changes in bowel habits, like persistent diarrhea or constipation, or rectal bleeding. If it’s in the stomach, symptoms could include persistent indigestion, nausea, vomiting, unexplained weight loss, or a feeling of fullness after eating very little. Lung adenocarcinoma might present with a persistent cough, shortness of breath, chest pain, or coughing up blood. Pancreatic adenocarcinoma can cause jaundice (yellowing of the skin and eyes), abdominal pain radiating to the back, loss of appetite, and weight loss. It’s crucial to pay attention to your body and any persistent, unexplained changes, no matter how minor they seem.

The diagnostic process usually starts with a patient reporting symptoms to their doctor. The doctor will then take a detailed medical history, perform a physical examination, and likely order some initial tests. These might include blood tests, which can sometimes show markers elevated in certain cancers (like PSA for prostate cancer or CEA for colorectal cancer), though these aren’t definitive. Imaging tests are often the next step. Depending on the suspected location, this could involve X-rays, CT scans, MRI scans, or ultrasounds. These imaging techniques help visualize the tumor, determine its size, and see if it appears to have spread to nearby lymph nodes or other organs. However, imaging alone cannot definitively diagnose cancer or determine its differentiation level.

The gold standard for diagnosing adenocarcinoma and determining its differentiation is a biopsy. This involves taking a small sample of the suspicious tissue. The method of biopsy depends on the location of the suspected tumor. It could be done during an endoscopic procedure (like a colonoscopy or bronchoscopy), where a tiny tissue sample is taken with forceps, or it might involve a needle biopsy guided by imaging, or even surgical removal of a suspicious lump. This tissue sample is then sent to a pathology lab.

In the lab, a pathologist meticulously examines the tissue under a microscope. They will identify the cells as cancerous and specifically classify them as adenocarcinoma. Crucially, they will assess the degree of differentiation – how much the cancer cells resemble normal glandular cells. They look at nuclear features, cell shape, the arrangement of cells, and other microscopic details. Based on these observations, they assign a grade, such as well-differentiated, moderately differentiated, or poorly differentiated. This grading is essential for treatment planning and prognosis. The pathologist’s report is the definitive word on the type and grade of cancer, providing the vital information doctors need to create the best treatment plan for the patient. Early detection through regular screenings and prompt medical attention for concerning symptoms significantly improves outcomes for well-differentiated adenocarcinoma and all types of cancer, guys. Don’t ignore your body’s signals!

Treatment Options and Outlook

So, what’s the game plan when it comes to treating well-differentiated adenocarcinoma ? The good news is that because these cells are less aggressive, the treatment approach can often be more targeted and potentially less invasive than for higher-grade cancers. However, it’s crucial to reiterate that any cancer diagnosis requires a comprehensive treatment strategy tailored to the individual patient. The primary treatment modalities usually include surgery, radiation therapy, chemotherapy, and sometimes targeted therapy or immunotherapy.

Surgery is often the first line of defense, especially if the cancer is localized and hasn’t spread. The goal is to remove the tumor entirely, along with a margin of healthy tissue around it to ensure all cancerous cells are gone. For many types of well-differentiated adenocarcinoma, surgery can be curative. The extent of the surgery will depend on the size and location of the tumor. For instance, a localized colon adenocarcinoma might require a colectomy (removal of a portion of the colon), while a localized prostate adenocarcinoma might involve a prostatectomy.

Radiation therapy uses high-energy rays to kill cancer cells or shrink tumors. It can be used after surgery to eliminate any remaining microscopic cancer cells, or as a primary treatment if surgery isn’t an option. Chemotherapy involves using drugs to kill cancer cells throughout the body. While well-differentiated cancers are less likely to have spread widely, chemotherapy might still be recommended, particularly if there’s a higher risk of recurrence or if the cancer has spread to lymph nodes. The specific chemotherapy drugs and schedule are carefully chosen based on the cancer type and stage.

In recent years, targeted therapy and immunotherapy have revolutionized cancer treatment. Targeted therapies focus on specific molecules or pathways involved in cancer cell growth and survival, while immunotherapy harnesses the power of the patient’s own immune system to fight cancer. These treatments are often used for specific subtypes of adenocarcinoma and can be highly effective, sometimes with fewer side effects than traditional chemotherapy. The choice of treatment will always be a multidisciplinary decision, involving oncologists, surgeons, radiologists, and pathologists, all working together to determine the best possible plan for the patient.

Now, let’s talk about the outlook or prognosis . Generally, the outlook for well-differentiated adenocarcinoma is more favorable compared to poorly differentiated or undifferentiated types. This is because the slower growth rate and lower propensity to metastasize mean that treatments are often more effective, and the risk of the cancer returning may be lower. Early diagnosis is absolutely key. When caught in its early stages, well-differentiated adenocarcinoma has a high potential for cure. For example, early-stage colorectal adenocarcinoma has a very good survival rate. However, it’s vital to remember that prognosis is highly individual. Factors such as the specific location of the cancer, the exact stage at diagnosis, the patient’s overall health, age, and response to treatment all play significant roles. Regular follow-up appointments and screening after treatment are essential to monitor for any signs of recurrence. So, while the ‘well-differentiated’ label is encouraging, ongoing vigilance and adherence to medical advice are paramount. Stay informed, stay proactive, and keep fighting, guys!