Pseudomyxoma Peritonei Explained

S.Onlinenic 100 views
Pseudomyxoma Peritonei Explained

Unraveling Pseudomyxoma Peritonei: What You Need to Know

Hey everyone! Today, we’re diving deep into a topic that might sound a bit intimidating at first: Pseudomyxoma Peritonei (PMP) . Now, don’t let the long name scare you off, guys. We’re going to break it all down in a way that’s easy to understand. So, grab a cup of coffee, get comfy, and let’s explore what PMP is all about.

What Exactly is Pseudomyxoma Peritonei?

Alright, let’s get down to business. Pseudomyxoma Peritonei , or PMP for short, is a rare condition characterized by the slow buildup of a gelatinous substance, called mucin, within the abdominal cavity. Think of it like a slow-motion Jell-O invasion, but instead of a fun dessert, it’s a medical condition that needs attention. This mucin typically originates from a ruptured or mucinous tumor, most commonly found in the appendix. However, it can also arise from tumors of the ovary or, less frequently, other abdominal organs. The key thing to remember about PMP is its slow-growing nature . This means that symptoms can develop gradually over many years, often making it challenging to diagnose in its early stages. As the mucin accumulates, it can put pressure on surrounding organs, leading to a variety of symptoms. It’s this accumulation and the subsequent effects that define PMP. The term itself gives us clues: “pseudo” meaning false, “myxa” referring to mucus, and “peritonei” indicating the peritoneum, the membrane lining the abdominal cavity. So, literally, it’s a “false mucus in the peritoneum.” This isn’t just a simple accumulation; it’s a pathological process where the body’s normal tissues are displaced and affected by this gelatinous material. Understanding this foundational aspect is crucial for appreciating the complexities of PMP.

The origin of PMP is predominantly linked to mucinous neoplasms, which are tumors that produce mucin. The most frequent culprit is a mucinous appendiceal neoplasm, often starting as a benign condition called a mucinous appendiceal adenoma or a low-grade mucinous adenocarcinoma. When these tumors rupture, or if they are particularly invasive, they can spill mucin-producing cells into the peritoneal cavity. These cells then implant on the surfaces of the abdominal organs and the peritoneum itself. Once implanted, they continue to produce mucin, leading to the characteristic ascites (fluid buildup) that defines PMP. While the appendix is the most common source, mucinous tumors of the ovary are the second most frequent origin, particularly in women. Other less common primary sites include the colon, stomach, and pancreas. The understanding of PMP has evolved significantly over the years, moving from a perception of it being an untreatable malignancy to a more nuanced view of it as a chronic condition that, in many cases, can be managed effectively. The histological classification of PMP is also important, as it influences prognosis and treatment. Generally, it’s categorized into low-grade and high-grade, with low-grade PMP being more common and having a better outlook. The progressive nature of mucin production and accumulation is the hallmark of PMP, and it’s this persistent production that makes it a unique challenge for clinicians.

Symptoms and Diagnosis: Catching PMP Early

Since PMP is a slow-growing condition, recognizing its symptoms can be a real challenge, guys. Often, people live with it for years without realizing anything is seriously wrong. One of the most common signs is a gradual increase in abdominal girth or swelling . You might notice your pants getting tighter, or your belly looking more distended than usual. This is due to the accumulation of mucin and fluid in the abdominal cavity. Another symptom can be abdominal pain or discomfort , which might be vague and attributed to other issues like indigestion or bloating. Some individuals experience changes in bowel habits, such as constipation or diarrhea, as the accumulating mucin puts pressure on the intestines. Nausea and vomiting can also occur, especially as the condition progresses and organ function is affected. In some cases, patients may experience a hernia , which can be a consequence of increased abdominal pressure. It’s important to note that these symptoms are not exclusive to PMP and can be caused by many other conditions. This is precisely why diagnosis can be delayed.

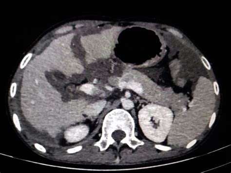
When it comes to diagnosis, doctors usually start with a thorough medical history and physical examination. If PMP is suspected, imaging studies are crucial. CT scans (Computed Tomography) and MRIs (Magnetic Resonance Imaging) are the go-to tools. These scans allow doctors to visualize the abdominal cavity, identify the presence of mucin, and assess its extent and distribution. They can also help pinpoint the potential primary source, like an appendiceal tumor. However, imaging alone may not always provide a definitive diagnosis. Blood tests might be performed, but there aren’t specific markers for PMP. The definitive diagnosis of PMP is typically made through biopsy . This can be done during surgery, where tissue samples of the mucin and affected tissues are taken and examined under a microscope by a pathologist. The pathologist looks for specific cellular characteristics that confirm the presence of mucinous tumor cells and the characteristic gelatinous material. Sometimes, a diagnostic laparoscopy might be performed, which involves inserting a small camera into the abdomen to get a closer look and take biopsies. The challenge in diagnosing PMP lies in its insidious onset and the nonspecific nature of its early symptoms. Patients often present with symptoms that mimic other common gastrointestinal issues, leading to a delay in seeking specialized medical attention. The key takeaway here is that if you notice persistent, unexplained changes in your abdomen, it’s always worth getting it checked out by a healthcare professional. Early detection, even with a slow-growing condition like PMP, can significantly improve outcomes.

Treatment Options: Fighting Back Against PMP

So, you’ve been diagnosed with PMP. What’s next? The good news is that while PMP can be challenging, there are effective treatment strategies available. The primary goal of treatment is to remove as much of the mucin and tumor as possible and to control the disease’s progression. The most common and effective approach is a surgical procedure known as Cytoreductive Surgery (CRS) , often combined with Hyperthermic Intraperitoneal Chemotherapy (HIPEC) . This dynamic duo is frequently referred to as the “Sugarbaker procedure,” named after Dr. Paul Sugarbaker, a pioneer in PMP treatment.

Cytoreductive Surgery (CRS) involves a meticulous and extensive operation where surgeons carefully remove all visible cancerous tissue and the gelatinous mucin from the abdominal cavity. This is a complex procedure that requires specialized surgical expertise. The goal is to achieve a “complete cytoreduction,” meaning that no visible tumor implants or significant amounts of mucin are left behind. The surgeon essentially “debulks” the abdomen, clearing it of the disease. This can involve removing parts of organs like the omentum (a fatty apron in the abdomen), ovaries, spleen, or even sections of the gastrointestinal tract, depending on where the mucin has spread.

Following the surgical removal of the bulk of the disease, Hyperthermic Intraperitoneal Chemotherapy (HIPEC) is often administered. This involves washing the abdominal cavity with heated chemotherapy drugs. The heat helps to increase the effectiveness of the chemotherapy and kill any microscopic cancer cells that may have been left behind, which are too small to be seen by the naked eye during surgery. The chemotherapy solution is circulated within the abdomen for a specific period before being drained. HIPEC is a crucial step in preventing the recurrence of PMP. The combination of CRS and HIPEC has dramatically improved the prognosis for many PMP patients, turning what was once considered a terminal diagnosis into a manageable chronic condition for many.

Beyond CRS and HIPEC, other treatment modalities might be considered depending on the individual case. For patients who are not candidates for CRS/HIPEC, or for managing recurrence, systemic chemotherapy (chemotherapy given intravenously) might be used. Hormone therapy has also shown some promise in certain types of PMP. However, CRS and HIPEC remain the gold standard for managing PMP when feasible. It’s really important to have a multidisciplinary team involved in your care, including surgeons, medical oncologists, pathologists, and radiologists, to create the best treatment plan. The journey with PMP can be long, but with advancements in treatment, there’s a lot of hope, guys. Stay informed and work closely with your healthcare team.

Living With PMP: Hope and Management

Receiving a diagnosis like Pseudomyxoma Peritonei can undoubtedly bring a wave of emotions, and it’s completely normal to feel overwhelmed. But here’s the thing, guys: PMP is increasingly being viewed as a chronic condition that can be managed, rather than a death sentence. The advancements in treatment, especially the combination of Cytoreductive Surgery (CRS) and Hyperthermic Intraperitoneal Chemotherapy (HIPEC), have given countless individuals a new lease on life. Living with PMP, or even after treatment for PMP, involves a focus on long-term monitoring and management . After the primary treatment, regular follow-up appointments are essential. These typically involve imaging scans (like CT scans) and clinical assessments to monitor for any signs of recurrence. Early detection of any recurring disease is key to prompt intervention and maintaining control.

Diet and nutrition play a significant role in overall well-being for anyone, and especially for those managing a chronic condition like PMP. A balanced diet rich in fruits, vegetables, and lean proteins can help support the body’s recovery and overall health. Some patients find that certain dietary changes can help manage digestive issues that may arise. It’s often beneficial to work with a registered dietitian who can provide personalized guidance. Physical activity is another important aspect. While it’s crucial to listen to your body and not overexert yourself, especially during recovery, gentle exercise like walking can be very beneficial. It helps maintain strength, improves mood, and can aid in digestion. Your healthcare team can advise on appropriate levels of physical activity as you recover.

Emotional and psychological support cannot be overstated. Dealing with a chronic illness can take a toll on mental health. Connecting with support groups, whether online or in-person, can be incredibly empowering. Sharing experiences with others who understand what you’re going through can reduce feelings of isolation and provide valuable coping strategies. Talking to a therapist or counselor can also be a great resource for navigating the emotional challenges. Remember, you are not alone in this. Many organizations are dedicated to supporting PMP patients and their families, offering resources, information, and a community.

Finally, staying informed and advocating for yourself is crucial. Understand your condition, your treatment options, and what to expect during follow-up. Don’t hesitate to ask your healthcare team questions. Being an active participant in your own care can lead to better outcomes. The journey with PMP is unique for everyone, but with a proactive approach, a strong support system, and access to excellent medical care, many individuals can lead fulfilling lives. There’s a lot of hope, and the medical community is continuously working to improve understanding and treatment for this rare condition. Keep your chin up, guys!